
CONCEPT
入れ歯とわからないほどの
美しさと快適さを。
入れ歯であっても、見た目が美しくてしっかり噛める。
そして、安定性があれば自信を持って笑顔や食事が楽しめるようになります。
そのために当院では審美性と安定性を兼ね備えた入れ歯を作るために、精密な検査を行ったうえで、患者様個々の口腔内に最適な入れ歯をご提案致します。
入れ歯は既製品ではありません。
あなたに最適な入れ歯を模索し、ご提案致します。
なぜ当院が選ばれるのか?
Reason

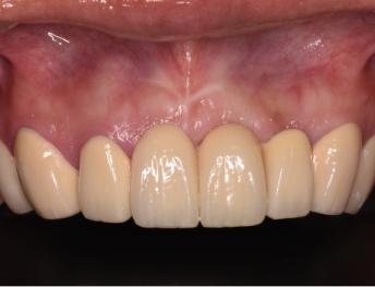
審美性が高い、
美しい入れ歯
笑顔になっても、入れ歯とはわからないような審美性の高い入れ歯を製作します。

天然歯と入れ歯を
共存させる
むやみに抜歯することなく、天然歯の残したうえで機能させる入れ歯を製作します。

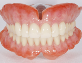
高い安定性と
快適な咀嚼
当院の入れ歯は精密な検査と分析により、高い安定性と快適な咀嚼を実現します。

入れ歯の豊富な
選択肢がある
患者さんのお口の状態や骨の状態は異なります。豊富な選択肢から最適な入れ歯を選択します。

選りすぐりの
設備が充実
CT・咬合器・マイクロスコープなど、治療の質が高まる選りすぐりの設備を充実させています。

時間をかけた
誠実な説明
患者様お一人に十分な時間をかけ、誠実な説明を行います。セカンドオピニオンも特長です。

Case Study
豊富な症例があります
当院の院長が手掛けた豊富な症例をご紹介します。
なぜ私たちが選ばれるのか。その理由を惜しみなく公開します。

60代 男性
歯周病で歯が悪くなる
歯周病が進行し、歯がどんどん悪くなっていく問題に対して、歯を残す治療と残した歯を活かした入れ歯で問題を解決した症例

70代 男性
土台となる歯が壊れた
元々入れていた部分入れ歯の土台となる歯が歯根破折によって壊れてしまっていた問題を長持ちする計画で問題を解決した症例

50代 女性
噛む位置がわからない
入れ歯の噛み合わせが悪く、歯ぎしりもしている上に、どこで噛んでよいかわからない問題を解決した症例

50代 男性
見た目も良くしたい
歯周病が進行し、前歯の被せ物に隙間ができてしまう問題を歯周病治療と審美性と機能性を担保する計画で問題を解決した症例

40代 男性
話しにくい、食べにくい
合わない入れ歯を使うことで歯が横揺れし、急速に歯周病が進行した問題を歯周治療と歯の保存計画で問題を解決した症例

50代 女性
噛む位置がわからない
入れ歯の噛み合わせが悪く、歯ぎしりもしている上に、どこで噛んでよいかわからない問題を解決した症例
お困りごとはありますか?
Selection
痛くて
噛めない
入れ歯が
安定しない
入れ歯の
見た目が悪い
できるだけ
歯を残したい
奥歯が
1〜2本ない
インプラントは
したくない
固定式ブリッジと
比較したい
長く使える
入れ歯がほしい
硬いりんごも
噛みたい
噛める喜びを味わう
Message

入れ歯であっても、噛むことや自信が持てる口元を諦める必要はありません。入れ歯は既製品ではありませんから、種類から選ぶことが最適だとは言えません。患者さんの口腔状態や理想を実現するためにはどの入れ歯が良いかを考えることが重要です。
患者様の生活背景を汲み取りながら、家族やお友達との食事や会話が楽しめるような最適な入れ歯を作製いたします。
豊富な入れ歯の種類
Selection

コーヌス
テレスコープ
天然歯を活用し、よく噛める審美性に優れた部分入れ歯です。修理しながら長く使えます。

リーゲル
テレスコープ
かんぬきの原理で固定するため、奥歯2本なくても安定感、審美性に優れた部分入れ歯です。

レジリエンツ
テレスコープ
歯が1本でも残っていれば適応になる部分入れ歯です。最終的に総入れ歯にすることも可能です。

GDS
デンチャー
審美性・機能性・吸着性に優れたGDSデンチャーは、無歯顎の咬合再構成に最適です。

シュトラック
デンチャー
顎関節と噛み合わせの調和を取り、清掃性が高く、審美的・安定性に優れた総入れ歯です。

For Visitor
セカンドオピニオン
ドクターカウンセリング
東京浜松町大西歯科クリニックでは、セカンドオピニオンやドクターカウンセリングを承っております。
インプラントの提案を受けているけれど怖い
できれば歯を残して部分入れ歯にしたい
入れ歯だと健康な歯が悪くなると言われて不安
今入れている入れ歯が安定しない
入れ歯の見た目が悪くて笑えない
これらのようなお悩みがありましたら、お気軽に当院へご相談ください。疑問点を1つずつ解決し、納得して入れ歯治療を選択することが患者様にとって最も良い意思決定だと考えているからです。


