Commitment
当院のこだわり

01
食事や会話に困らない
入れ歯の最大の価値は、食事や会話を楽しめることです。
食事をしている時に、痛くて噛めない。違和感があって食事が楽しくない。しゃべりにくくて入れ歯外したい。
それではいけません。
当院は入れ歯を通じて、食事や会話を大いに楽しんでいただけるような入れ歯を作製します。
痛くない
入れ歯を入れると、擦れていたい・噛むと痛いといった悩みがあります。当院で作成する入れ歯は、粘膜が痛みを感じないような設計を行い、食事を大いに楽しんでいただけます。
よく噛める
当院では入れ歯を作成した後にフードテストを行っています。これまで噛めなかったお煎餅やりんごを丸かじり出来る感動は、何事にも代えがたい経験です。
話しやすい
入れ歯を入れていると、発音しにくいと感じる方は少なくありません。当院で作製する入れ歯は、会話がしやすく、はっきりと言葉が相手に伝わります。

02
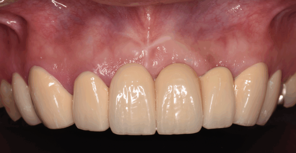
審美的に優れている
入れ歯を懸念する方の1つに「見た目の問題」があります。
そのため、審美的に優れた入れ歯を作製することが重要であると考え、より高い審美性を追求してきました。
願わくば入れ歯を使っていると気づかれずに、毎日を楽しんでいただきたいと願っています。
01
笑った時に入れ歯だと
気づかれにくい
02
作られた感がない
自然な口元
03
自信を持って
笑顔になれる

03
天然歯をできる限り残す
歯周病や根の病気で抜歯を宣告されても諦めないでください。当院は歯周病治療や根管治療を行い、歯を残すための治療に力を入れています。天然歯を残すことは、噛む感覚が得られ、食事がグンと楽しくなります。
●天然歯を残すメリットは以下の通りです。
天然歯と同様に噛む感覚が得られる
噛む力を感知し、緩和させる
歯があるという安心感が得られる
●万が一、将来的に抜歯になっても安心です
抜歯になりにくい設計を前提にします
抜歯になっても修理して使えます
最小限のインプラントを併用できます
歯周病や根の病気で抜歯を宣告されても諦めないでください。当院は歯周病治療や根管治療を行い、歯を残すための治療に力を入れています。天然歯を残すことは、噛む感覚が得られ、食事がグンと楽しくなります。
当院には、入れ歯に関する
多くの実績があります。



当院はどうしたらインプラントにも負けない入れ歯が作れるのかを考え続けてきました。なぜなら、皆がインプラントを選択できるわけではないからです。恐怖心やお身体の問題で入れ歯を選択できない方に対して、安定して噛める、審美的にも優れている、天然歯も守ることができる。そんな入れ歯を目指していたら、多くの患者様に任せていただけるようになりました。入れ歯で悩まれている方のお力になりたいと今日も診療を頑張っています。
ぜひ一度、院長の大西が手掛けた入れ歯の症例をご覧いただけたらと思います。

For Visitor
セカンドオピニオン
ドクターカウンセリング
東京浜松町大西歯科クリニックでは、セカンドオピニオンやドクターカウンセリングを承っております。
インプラントの提案を受けているけれど怖い
できれば歯を残して部分入れ歯にしたい
入れ歯だと健康な歯が悪くなると言われて不安
今入れている入れ歯が安定しない
入れ歯の見た目が悪くて笑えない
これらのようなお悩みがありましたら、お気軽に当院へご相談ください。疑問点を1つずつ解決し、納得して入れ歯治療を選択することが患者様にとって最も良い意思決定だと考えているからです。
